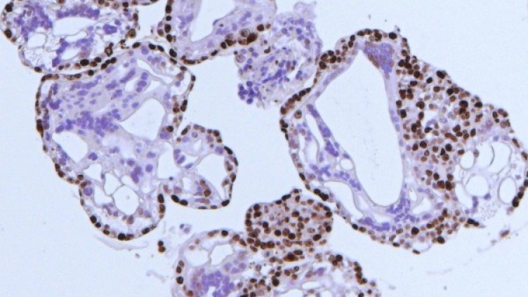
Британски учени създадоха органоиди - миниатюрни функционални клетъчни модели на най-ранните стадии от развитието на човешка плацента, съобщиха Ройтерс и Франс прес. Въпросните органоиди могат да допринесат да се разбере защо някои жени имат усложнения по време на бременността си или не успяват да износят плода си.
"Когато плацентата не функционира както трябва, това може да предизвика сериозни проблеми, като например прееклампсия или помятане. Познанията ни за плацентата обаче са ограничени, защото липсват добри експериментални модели", заяви Маргерита Турко от екипа.
Медиците обикновено тестват първо върху животни потенциала и надеждността на нови лечения, предназначени за хората. "Човешката плацента обаче е твърде различна от тази на другите видове, следователно животинските модели не са от полза", поясни ръководителят на изследването Ашли Мофет от Кембриджкия университет, който от повече от 30 години работи над отглеждането на култура от плацентни клетки.
Екипът му успял да изолира и да създаде култура от клетки, известни като трофобласти. Те се формират само няколко дни след оплождането и впоследствие се превръщат в плацента и пъпна връв. Така били създадени мини плаценти, които възпроизвеждат ин витро функционирането на истинска плацента и отделят хормони и протеини, променящи метаболизма у жените по време на бременността.
Учените се надяват, че създаденият от тях модел ще позволи да се изследват аномалии в развитието на плацентата, които могат да предизвикат проблеми по време на бременността.
Резултатите от изследването са публикувани в сп. "Нейчър".
/БТА/
Това се случи Dnes, за важното през деня ни последвайте и в Google News Showcase.
Фондовата борса във Варшава се надява до 5 години да получи статут на развит пазар от MSCI
"Детройт на Европа" губи блясъка си на двигател в автомобилната индустрия
Китай ще отложи правилата за редкоземните елементи и ще възобнови покупките на соя от САЩ
Кадър на деня за 26 октомври
Кюрдските бунтовници от ПКК се оттеглят от Турция, искат влизане в политиката
Косово не можа да сформира правителство, политическата безизходица се задълбочава
Три китайски зодии привличат изобилие между 27 октомври и 2 ноември
Съставката за супа, която може да направи чудеса за сърцето
Рецепта за миш-маш по гръцки
Проверяват школата на министъра на културата заради скандала с д-р Хасърджиев
Сексуална несъвместимост и кралски тайни: Признанията на принцеса Даяна
Ландо доминира от началото до края в Мексико, вече е лидер във Формула 1
Трета загуба за седмица за Юве! Лацио сложи Тудор на дръвника
Телевизията на Реал Мадрид е бясна: Чудо е, че водим в "Лига Негрейра" + ВИДЕО
Алонсо каза какво мисли за поведението на Вини Жуниор срещу Барса
Левски гледа с интерес: ЦСКА 1948 също ще опита да спре Лудогорец
Десподов с нов силен мач за ПАОК
Дневен хороскоп за 27 октомври, понеделник
Седмичен хороскоп za 27 октомври – 2 ноември
Седмична нумерологична прогноза за 27 октомври – 2 ноември
Мъдър бюджет: 6 съвета как да спестим за празниците отрано
5 храни, които задължително да премахнете при раздразнен стомах
Нумерологична прогноза за 26 октомври
"Възраждане" сигнализират: Има нераглементирано сметище край Варна
Затлъстяването при децата се е утроило, какви мерки трябва да се вземат?
Няколко съвета как бързо да се адаптираме към смяната на времето
Подариха на Папа Лъв XIV керамична икона изработена от българска ученичка
Грипният сезон се развива по-интензивно: Най-добре е да наблегнем на превенцията
Охранител е помогнал при обира в Лувъра?
Междузвездната комета 3I/ATLAS не успя да се скрие от космическите апарати
Определиха химичния състав на кометата Понс – Брукс
Учените съставиха най-големия в историята каталог на галактическите купове
Русия ще достави на Луната първите елементи за лунна станция до 2034 г.
„Най-евтиният в света“ хуманоиден робот струва само 1370 долара (видео)
Суперземя в съседство може да е най-доброто място за търсене на извънземен живот