В средата на март в болница "Надежда" се ражда първото бебе след петкратна успешна интраутеринна трансфузия на кръв.
Лекарят спасил живота на бебето е д-р Кристина Чачева, специалист Пренатална диагностика. Тя използвала високоспециализираната процедура – преливане на кръв на плода още в утробата на майката.
Нероденото дете имало тежка анемия, водеща до сърдечна недостатъчност и събиране на вода в организма. Майката решила да потърси помощ в болницата, след като в други лечебни заведения я посъветвали да направи аборт.
След направените изследвания при майката е установена висока концентрация на антитела, които водят до унищожаване на еритроцитите в кръвта на бебето.
Лекарите веднага започват да търсят кръв за да извършат операцията.
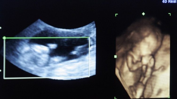
Кръвта, която се прелива на бебето вътреутробно се подготвя изключително прецизно. Тя трябва да отговаря на редица специфични изисквания и се различава значително от кръвта, която се прелива на вече родени деца.
За два дни болницата събира необходимото количество кръв. Първото преливане е 30 мл, а след още два дни лекарите прелели отново същото количество. Две седмици по-късно бебето получава още 40 мл. Процедурите били общо пет.
Трансфузията се извършва под постоянен ултразвуков контрол. Със специална игла се пробожда пъпната връв и бавно се инжектира подготвената кръв, като постоянно се следи състоянието на плода.
Тъй като най-честата причина, която налага интраутеринното трансфундиране е несъвместимостта на резус фактора на майката с плода, е важно жените с отрицателен резус фактор да не забравят да преминат всички изследвания по време на своята бременност.
Това се случи Dnes, за важното през деня ни последвайте и в Google News Showcase.
Възможността за отпадане на някои мита окрили щатските индекси
ЕНП залага на крайната десница за разхлабване на екологичните разпоредби в ЕС
Кадър на деня за 5 ноември
Просрочените потребителски задължения в САЩ се увеличават заради студентските заеми
Нагел от ЕЦБ отхвърли идеята, че инфлацията се установява под целта от 2%
"Милан" и "Интер" придобиха градския стадион "Сан Сиро" за близо 200 млн. евро
Райската ябълка е пълна с полезни вещества
От HelpBook: Дупки и повреден асфалт в столичния район "Слатина"
Защо виждаме петна пред очите
Helpbook: Отрязаха здрави тополи до метростанция в София
Вселената изпраща знаци на четири зодии на 6 ноември
Три кристала за чиста енергия в дома
България го закъса: Съдбовно решение за Карлос Насар
Цървена Звезда продължава да гази в Евролигата
Холанд пак вкара, но този път бе засенчен от Фодън
Краят на хегемонията наближава: Лудогорец е посмешище, а Левски лети
Велика вечер за Брюж и провал за Барса: Каталунците се спасиха от тотален провал в шоу с шест гола
Няма как ЦСКА да е аутсайдер срещу Левски
Дневен хороскоп за 6 ноември, четвъртък
От хип-хоп клубовете в Харлем до подиумите на Висшата мода – историята на streetwear стила
5 кристала, които ще повишат вибрацията в дома ви
2 зодии с голям напредък до края на 2025
Милена Аврамова за филма „Рожден ден“: Вселената започва да работи, когато правиш нещо хубаво
Лесни трикове за намаляване на кортизола
Британското посолство отговори на Борисов за "Магнитски"
Желязков: Работодатели, синдикати и правителство могат да работят само в своята пълнота
Варна отбелязва Нощта на театрите с концерт и марка с лика на Добри Христов
Българин е ранен в Косово
Талантите на Черно море до 14 г. победиха лидера и излязоха на първо място
Пияни и дрогирани шофьори ще плащат чуждата кола, с която са направили престъпление
Опасна ли е за Земята черната дупка Gaia BH1
Как да пробудим съзнанието си
В САЩ откриха, че човешкото сърце е способно на самовъзстановяване
Най-голямата паяжина в света е открита в пещера между Албания и Гърция
James Webb открива следи от първите гигантски звезди
Американски физик за възможността 3I/ATLAS да има извънземен произход