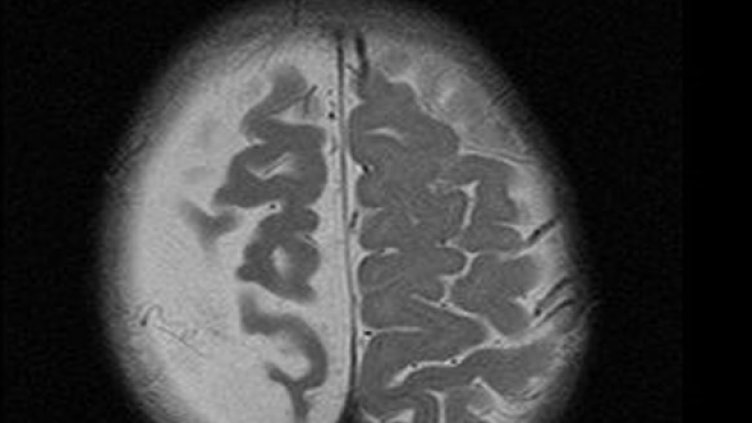
Съгласно статистическите данни педофилите имат ниско ниво на интелектуално развитие. Канадските учени са на мнение, че причина за педофилията с аномални промени в мозъка.
Специалистите сравнили резултати от сканиране на мозъка на педофили, излежаващи присъди за престъпленията си, и престъпници, извършили други дейния извън закона.
В мозъка на педофилите имало много по-малко от т.нар. бяло вещество, което представлява нервни влакна, свързващи различните сфери на главния мозък. Намира се по повърхността на продълговатия мозък, моста, средния и междинния мозък. Бялото вещество образува центровете на някои важни дейности на организма.
Според резултатите от изследването най-съществени били отклоненията в броя нервни влакна, които осигуряват връзката между шестте зони на главния мозък, отговарящи за половата възбуда и регулирането на сексуалните импулси.
Тази особеност в строежа на мозъка води до това, че педофилът не може да направи разлика между приемливите и неприемливите обекти на сексуалното си влечение.
Учените обаче са категорични, че новите данни по никакъв начин не трябва да влияят на присъдите на сексуалните престъпници, съобщи aif.ru.
Фактът, че те не са в състояние да избират сексуалните си предпочитания, не значи, че не могат да контролират действията си, категорични са учените.

Stellantis се сблъсква с проблем относно надеждността за 17 млрд. долара
ЦРУ и МИ6 надцениха Русия, а Путин държи в пълна тайна плановете си да нападне Украйна
Евтините батерии постепенно изместват изкопаемите горива като пикова мощност
"Митническият хаос" може да накара Европейския парламент да замрази сделката със САЩ
Технологичните центрове връщат интереса към геотермалната енергия
Тр. Трайков: "Булгаргаз" е във фактически фалит и стои заради договора с Азербайджан
Труп на прострелян мъж е открит в Сливен
Янис Стофоридис влиза в първия си сблъсък с Франческо Джая на SENSHI 30
Агенти на Сикрет Сървис застреляха въоръжен мъж в имение на Тръмп във Флорида
"Берое" в незавидна позиция след равенство срещу "Арда" (Кърджали)
Костадинов иска обяснение от Гюров и министри за военните самолети на САЩ в София
НА ЖИВО: ЦСКА 1948 – Левски 1:1, червените са с 10 души
Янис Стофоридис влиза в първия си сблъсък с Франческо Джая на SENSHI 30
Любопитна причина! Дисквалифицираха рускиня на Олимпиадата
МОК с висока оценка за игрите в Милано – Кортина
ЦСКА е все по-близо до големия си трансфер
Дженоа разби „биковете“
Модерна елегантност от Ralph Lauren за есен-зима 2026-2027 (+Снимки)
Мъжете, които избягват тези 8 отговорности, рядко стават добри съпрузи
Седмична таро прогноза за 23 февруари – 1 март
Изберете си книга на мъдростта и вижте как да постигнете щастие
Нумерологична прогноза за 22 февруари
Сочно свинско бонфиле с чесън и билки
Янис Стофоридис влиза в първия си сблъсък с Франческо Джая на SENSHI 30
26 пияни или дрогирани шофьори спипа КАТ за ден
Ето я мутрата, тормозила Вальо Михов за пари
Аневризъм е най-вероятната причина за смъртта на детето в Бургас
Трайчо Трайков: „Булгаргаз“ се намира във фактически фалит
Какво вещаят картите Таро за март?
Експерти коментират: Възможно ли е Земята да е единствената обитаема планета
Ново изследване сочи, че слънчевите изригвания може да са свързани със земетресенията
В мантията на Земята откриха мистериозни „потънали светове“
Повторното влизане на ракета е замърсило горните слоеве на атмосферата
На Балканите откриха термално езеро с дълбочина 127 м
Първият пилотиран полет до Луната от Аполо насам: Успешна генерална репетиция на Artemis II