41-годишен мъж с мозъчен тумор над 1 кг е бил спасен след високорискова операция.
Интервенцията е продължила осем часа, разказа днес екипът на УМБАЛ "Св. Иван Рилски", който стои зад нея: д-р Емануил Найденов - неврохирург, доц. Станимир Сираков – неврорентгенолог, д-р Марин Пенков – неврорентгенолог и д-р Любомир Падарски – анестезиолог.
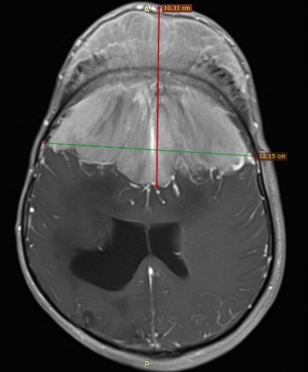
Божидар от години страда от главоболие, на което първоначално не обръща внимание. Преди две години главоболието става непоносимо, появява се отпадналост, зрението драстично намалява, а главата му видимо се деформира. Въпреки красноречивите симптоми, диагнозата не е поставена веднага.
А когато това става, лекарите, с които се консултира у нас и в чужбина, са категорични: болестта е в твърде напреднал стадий и рисковете от хирургичното лечение са огромни. Ако не бъде опериран обаче, той ще загине до края на годината. Ситуацията изглежда безнадеждна, но Божидар е твърдо решен да не се предава.
"Железният човек", както го нарича синът му, е преминал много изпитания през живота си (и той, и съпругата му са хора с увреждания), постигнал е всичко с много труд и упорство. Винаги е бил за пример на своето дете, което тази година навърши седем години и тръгна на училище, разказват от болницата за "медицинското чудо".
Рисковете Божидар да почине по време на лечението са огромни. "От самото начало бях наясно, че толкова сложна интервенция не е по силите на един човек", обяснява неврохирургът д-р Емануил Найденов. Затова в болницата е свикан мултидисциплинарен екип, който дълго обсъжда случая.
Подобни казуси, с толкова голям тумор и с изключително сложна локализация, има само няколко в света. Избират нов подход, като се надяват това значително да ограничи кръвозагубата. Първоначално извършват селективно запушване на голяма част от хранещите съдове на тумора, под високотехнологичен рентгенов и термографски контрол.
Няколко дни след емболизацията лекарите пристъпват към самото отстраняване на лезията . По време на продължилата цял ден операция пациентът губи два литра кръв, на няколко пъти е между живота и смъртта. Той е на ръба на хиповолемичен шок (животозастрашаващо състояние в следствие на голямата кръвозагуба), успешно овладян от анестезиологичния екип.
Ранният следоперативен период е тежък, но Божидар не се предава и вече се храни сам. В момента провежда активна рехабилитация, започва да сяда и да се изправя до леглото. Най-страшното вече е минало и лекарите са оптимисти, че до седмица-две той ще бъде изписан от УМБАЛ "Св. Иван Рилски". След това ще бъде наблюдаван в продължение поне на година.
"Случаят на Божидар поражда някои тревожни въпроси. Как е възможно това да се допусне в България, която е една европейска страна, член на ЕС. Явно е, че в системата има големи пропуски", коментира д-р Найденов.
Според доц. Васил Каракостов, началник на Клиниката по неврохирургия, за да добие тези размери, туморът се е развивал поне 10 години и е странно как не е бил дигностициран досега. Той призна, че в Клиниката тепърва ще умуват как да възстановят разходите си от сложната интервенция, тъй като случаят е казуистика и няма как да бъде обхванат от стандартните пътеки по Здравна каса.
Д-р Найденов, главният герой в историята на Божидар, апелира към всички, които имат възможност, да помогнат на семейството на мъжа, който независимо от успеха на операцията, още дълго време ще бъде "извън строя".
"Въпреки че е инвалид, той нито за секунда не е спирал да работи и да се грижи за прехраната на семейството си", споделя неврохирургът.
Дарителска банкова сметка
Божидар Етрополски
BG16 UBBS 8448 4010 5014 13BIC / SWIFT: UBBSBGSF

Обявеното от Тръмп временно примирие с Иран окрили щатските индекси
Кадър на деня за 8 април
Русия увеличава разходите през март заради поскъпването на петрола
Ще ускори ли енергийния преход кризата с високите цени на петрола и газа?
Хакери на руското ГРУ са откраднали чувствителна информация чрез компрометирани рутери
Все повече представители на Фед са склонни да обмислят покачване на лихвите
Хороскоп за 9 април: Любов, работа и възможности за всяка зодия
Безопасни тренировки по време на бременността
Как да освежим мазната коса без измиване
Има доказателства за възкресението на Христос, твърдят учени
Балкански ветеринарни служби засилват контрола срещу болестите по животните в региона
Две грешки в храненето вредят на здравето на жените над 50 години
Ханзи Флик се ядоса от загубата, но е категоричен: Можем да ги бием
Спортът по телевизията днес, 9 април
Слот обясни, защо не пусна Салах в Париж
Потвърдиха отнетите 6 точки на Лестър
Мачовете по телевизията днес, 9 април
Левски – Арда
Нумерологична прогноза за 9 април
Техника за шарени яйца за Великден с бита сметана
Велики четвъртък е!
Поверия за Велики четвъртък
Спектакълът на Театър „София“ с участието на Гринго – Богдан Григоров „Херкулес vs Авгий“ с две награди „Златен Кукерикон“
5 изпитани трика за боядисване на великденски яйца
Гърция с нови изисквания към шофьорите
Шуменец преби приятеля си по чашка
Как да избегнем преяждането по Великден?
Гърция въвежда наркотестове за шофьори
ЕС променя техническите прегледи на автомобили
Европейска държава разреши болничен за гледане на домашен любимец
Защо не виждаме космически боклук в снимките от „Артемида II“
Робот извърши първата в света напълно самостоятелна операция на катаракта
Руската орбитална станция ще функционира без човешко присъствие- веси
Русия предлага разделяне на Луната на „суверенни територии“
Учени: Съзнанието е физическа част от Вселената
Възможно ли е на Венера да има живот от Земята?