Учен от НАСА заяви, че е открил фосилизирани следи от извънземен живот във фрагменти от метеорит, предизвиквайки едновременно ентусиазъм и скептицизъм в общността на учените, съобщи Франс прес.
Статията на Ричард Хувър, придружена от направени с микроскоп снимки на малки същества, напомнящи червеи, е публикувана в Journal of Cosmology.
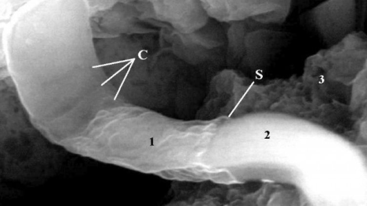
Ученият прибегнал до напречен разрез на фрагменти от метеорити, за които се предполага, че в тях е възможно да има вода и органична материя. След това изследвал с микроскоп въпросните метеорити, наречени въглеродни хондрити.
Хувър открил нещо като бактерии, които нарекъл "местни фосили". Той е на мнение, че произходът им не е свързан със замърсяване вследствие на сблъсъка между метеорита и Земята. Според Хувър произходът им е свързан с Космоса и с живи организми, съдържащи се в комети, метеорити или други небесни тела.
Заключението е, че живот има навсякъде и че този на Земята може да е дошъл от други планети, увери ученият.
Подобни изследвания, които подсказват за наличие на извънземен живот в метеорити, не са нещо ново. Те предизвикват ожесточени дебати относно това дали тези организми могат да оцелеят в Космоса и относно произхода на живота във Вселената.
(БТА)

А. Петров: Изкуството на младото поколение гради доверие между България и Северна Македония
Дейли от Фед: Трябва да се избегне грешката лихвите да бъдат задържани твърде дълго
ЕК ще обособи нов клас автомобили, за да направи достъпни електромобилите
Инвестиционният фонд Apollo става мажоритарен акционер в Атлетико Мадрид
Уорън Бъфет ускорява темпото на даренията за децата си, "докато е още жив"
Blue Origin на Джеф Безос отложи планирания втори полет на ракетата New Glenn
Радев: Искам да ви се извиня за Бюджет 2026
Ефективни начини да изградим по-силна връзка с шефа
Такси блъсна младо момиче в Благоевград
МВнР: Призоваваме Русия да спре да смущава европейските сателити
Късна емисия
Мизерия на детска площадка: Изтръгнати люлки, счупени пейки, висящи лампи
Експерименти? Нагелсман иска първото място за Германия
Абонданца: България разполага с много интересен и перспективен отбор
Марица Пд скочи срещу съдия от родния елит + ВИДЕО
Чиликов не литна в облаците след триумфа в дербито на Втора лига
Куман похвали дебютант и проговори за ас на „червените дяволи“
Звезда на Ман Юнайтед аут за ключовите мачове на родината си за Мондиал 2026
Канадската сензация Джонатан Рой се завръща с концерт в Зала 3 на НДК през януари
Дневен хороскоп за 11 ноември, вторник
Как технологиите променят професиите – поглед отблизо с Базар на професиите 2025
Ретрограден Юпитер в Рак на 11 ноември – грижим се повече за себе си
Разпознаване на есенната депресия: Какво е сезонно афективно разстройство
Поверия за Свети Мина
Токът спря по време на интервю на Зеленски в Киев
Мечка нападна мъж докато бере гъби
Фратрия загуби от Дунав във Втора лига
Тъжна вест! Почина шампион по плуване
Синдикатите се срещат с ГЕРБ заради Бюджет 2026
Организират протест тази неделя във Варна
Ново откритие в квантовата физика отваря пътя към междузвездните пътешествия
Portal Space Systems представи сателитната платформа Starburst
Новите технологии могат да спасят астронавтите от космическо прилошаване
Vast изведе на орбита демонстратора на първата частна космическа станция Haven-1
Учени разкриха какво се случва с времето на Венера
Има ли вода на спътника на Сатурн – Енцелад